Guidance and calculators

The HeartVets EPIC calculator

If you are treating a small breed dog with a moderate-to-loud systolic heart murmur and radiographic cardiomegaly, and have performed an echocardiogram, you can use our calculator to determine whether your patient would benefit from pimobendan based upon these results.

Patient weight (kg)
LV internal diameter in diastole LVDd (mm)
Aortic Diameter (mm)
Left atrial diameter (mm)

The HeartVets Echo calculator

Use this calculator for your own echocardiography measurements. 

Enter your patient’s body weight in the box to reveal reference range for M-mode measurements (based on Cornell allometric scale for patients <70kg)

Patient weight (kg)

Interested in learning more?

Improve your echocardiography

Download a copy of our echo template (adapted from the British Society of Echocardiography guidelines) to help you develop a systematic echo examination.

Echo courses

If you want help with your echo, whether you are just beginning or are experienced, why not come on one of our echo courses.

Read more about the EPIC trial

EPIC stands for Evaluation of Pimobendan In dogs with Cardiomegaly. It is one of the largest veterinary clinical trials conducted to date, taking seven years to complete and involved 360 dogs from 11 different countries.

EPIC was a prospective, double-blinded, placebo-controlled and randomised trial, therefore the results provide us with the best possible level of evidence to guide treatment of our clinical patients.

Small breed dogs (<15kg) greater than 6 years of age were recruited to the study based upon the presence of a moderate to high-intensity murmur as well as evidence of echocardiographic and radiographic cardiomegaly. The criteria used to determine this were:

  • Murmur grade 3/6 or louder
  • Vertebral heart sum (VHS) >10.5
  • LA:Ao ratio >1.6
  • LV internal diameter in diastole (normalized for body weight) > 1.7

The dogs were divided into two groups, one was treated with pimobendan (0.4-0.6mg/kg/day divided into two equal doses) and the other received a placebo.

The results showed that treatment with pimobendan extended the average asymptomatic period by approximately 15 months compared to placebo.

These results show that in small breed dogs with a moderate or loud systolic heart murmur, further investigation should be undertaken to confirm presence of degenerative mitral valve disease, and to establish the stage of disease. Dogs fulfilling the criteria described above would be described as “advanced preclinical” (or class B2 on the ACVIM classification scheme) and are very likely to benefit from treatment with pimobendan.

Right lateral thoracic radiograph showing measurement of the Vertebral Heart Sum (or Vertebral Heart Score/Size, VHS).
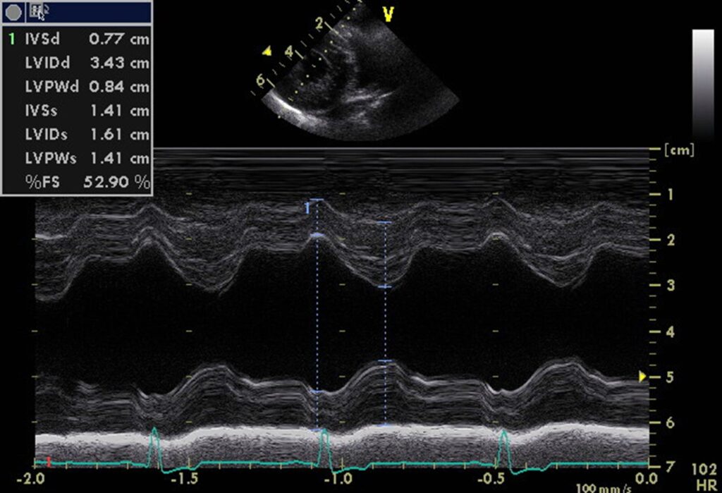
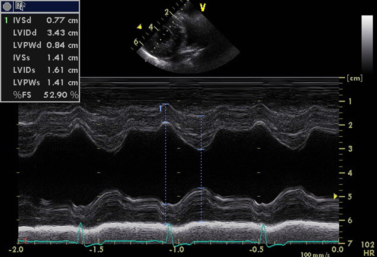
Echo image of the right parasternal short axis view at the level of the chordae tendineae – used to create the M-mode image for measurement of the LV internal diameter in systole and diastole.
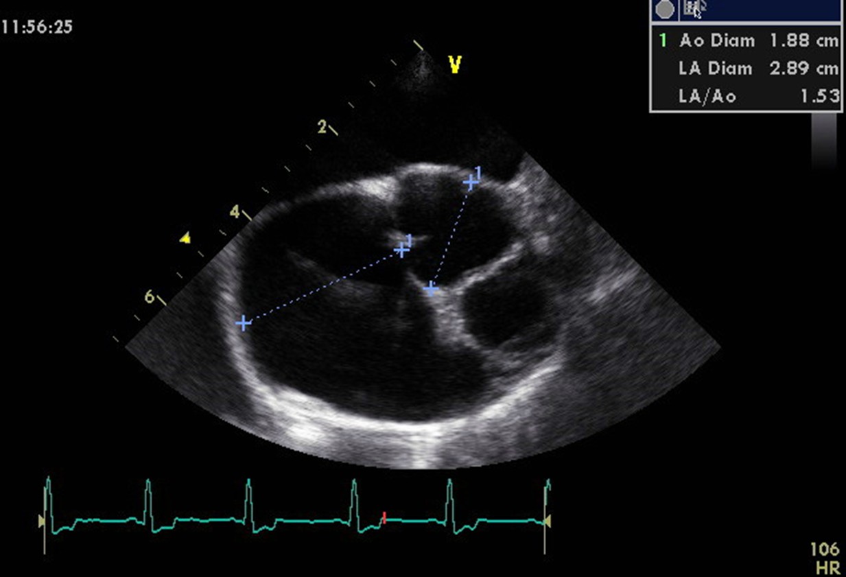
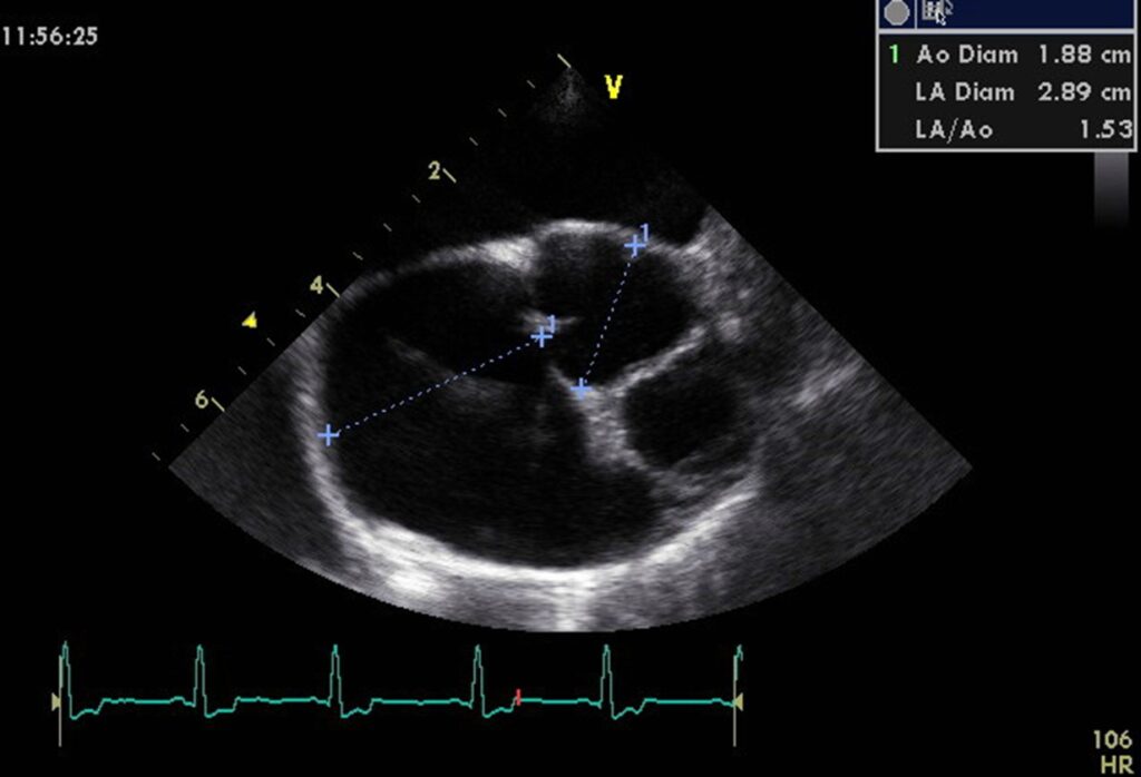
Echo image of the right parasternal short axis view at the level of the aortic valve – used to create the LA/Ao measurement.

If you are treating a small breed dog with a moderate-to-loud (at least grade 3/6) systolic heart murmur and radiographic cardiomegaly (VHS at least 10.5), and have performed an echocardiogram, you can use our calculator to determine whether your patient would benefit from pimobendan based upon these results.

We use one radiographic and two echocardiographic measurements to form the EPIC assessment.

References

  1. Cornell, C. C., Kittleson, M. D., Torre, P. D., Häggström, J., Lombard, C. W., Pedersen, H. D., Vollmar, A. & Wey, A. Allometric scaling of M-mode cardiac measurements in normal adult dogs. Journal of Veterinary Internal Medicine 18, 311–321 (2004).
  2. Visser, L. C., Ciccozzi, M. M., Sintov, D. J. & Sharpe, A. N. Echocardiographic quantitation of left heart size and function in 122 healthy dogs: A prospective study proposing reference intervals and assessing repeatability. Journal of Veterinary Internal Medicine 33, 1909–1920 (2019).
  3. Rishniw, M., Caivano, D., Dickson, D., Vatne, L., Harris, J. & Matos, J. N. Two-dimensional echocardiographic left- atrial-to-aortic ratio in healthy adult dogs: a reexamination of reference intervals. Journal of veterinary cardiology : the official journal of the European Society of Veterinary Cardiology 26, 29–38 (2019).